Endodoncja

Skuteczne ratowanie zębów nawet podczas jednej wizyty w gabinecie Prodental

Endodoncja

Endodoncja, potocznie nazywana leczeniem kanałowym, to dziedzina stomatologii zajmująca się leczeniem chorób miazgi zęba oraz tkanek okołowierzchołkowych. Dzięki nowoczesnym technologiom i pracy pod mikroskopem możliwe jest dziś skuteczne uratowanie zębów, które jeszcze kilka lat temu kwalifikowałyby się do usunięcia. 

Leczenie kanałowe pod mikroskopem na jednej wizycie – precyzja i skuteczność

Zgodnie z aktualnymi badaniami skrócenie ilości wizyt zmniejsza ryzyko wtórnej infekcji bakteryjnej systemu kanałowego. Dzięki zastosowaniu nowoczesnych technologii oraz odpowiedniej diagnostyki jesteśmy w stanie bezpiecznie przeprowadzić leczenie w ciągu jednej wizyty – o ile pozwalają na to warunki kliniczne. 

Endodoncja w naszym gabinecie – najwyższy standard leczenia

Endodoncja to jeden z najbardziej wymagających zabiegów stomatologicznych. Sukces leczenia zależy od dokładności opracowania i szczelnego wypełnienia wszystkich kanałów – także tych dodatkowych i trudno dostępnych.

W naszym gabinecie Prodental Tarchomin / Białołęka leczenie kanałowe przeprowadzamy z wykorzystaniem:

Mikroskopu zabiegowego

Pozwala na wielokrotne powiększenie pola operacyjnego, odnalezienie dodatkowych kanałów oraz kontrolę szczelności wypełnienia.

Aktywacji ultradźwiękowej

W trudnych przypadkach (kanały zobliterowane, złamane narzędzia) stosujemy ultradźwiękowe narzędzia endodontyczne oraz aktywację płynów płuczących, co zwiększa skuteczność dezynfekcji.

Mikrosilnika endodontycznego z endometrem

Urządzenie umożliwia precyzyjny pomiar długości kanału, posiada kontrolę momentu obrotowego z funkcją autorewersu zapobiegającą złamaniu narzędzia.

Maszynowych pilników niklowo-tytanowych (NiTi)

Elastyczne narzędzia pozwalają na bezpieczne opracowanie nawet wąskich i zakrzywionych kanałów.

Systemu B i Obtura

Wypełnianie kanałów metodą termoplastycznej kondensacji gutaperki, zapewniające biokompatybilne, precyzyjne trójwymiarowe wypełnianie kanałów korzeniowych.

Koferdamu

Izolacja zęba specjalną gumową osłoną zapewnia sterylność pola zabiegowego oraz chroni przed ponownym zakażeniem.

Leczenie endodontyczne krok po kroku

Leczenie kanałowe pod mikroskopem to precyzyjny, wieloetapowy zabieg, którego celem jest usunięcie infekcji i uratowanie naturalnego zęba. Poniżej przedstawiamy, jak wygląda krok po kroku nowoczesne leczenie endodontyczne w naszym gabinecie Prodental  Tarchomin / Nowodwory.

1. Wywiad medyczny i badanie kliniczne

Każde leczenie kanałowe rozpoczynamy od:

  • szczegółowego wywiadu 
  • badania klinicznego
  • diagnostyki obrazowej
  • dokładnego przedstawienia pacjentowi istoty leczenia endodontycznego

Po skutecznym znieczuleniu miejscowym:

  • usuwamy stare wypełnienia lub próchnicę
  • otwieramy komorę zęba
  • w razie potrzeby odbudowujemy ściany zęba, aby zapewnić szczelność i bezpieczeństwo dalszego leczenia

To najważniejszy etap leczenia endodontycznego. Celem tego etapu jest usunięcie bakterii, resztek miazgi i toksyn z całego systemu kanałowego – również z kanałów bocznych i dodatkowych. Obejmuje:

  • izolację zęba z użyciem koferdamu
  • opracowanie kanałów elastycznymi narzędziami niklowo-tytanowymi
  • precyzyjny pomiar długości kanałów
  • intensywne płukanie kanałów specjalnymi środkami dezynfekującymi, aktywowane ultradźwiękami

Po dokładnym oczyszczeniu kanały są szczelnie wypełniane materiałem biokompdtybilnym. Prawidłowe wypełnienie zapobiega ponownej infekcji i stanowi warunek długoterminowego powodzenia leczenia.

Wykonujemy kontrolne zdjęcie RVG, aby potwierdzić prawidłową długość wypełnienia i brak powikłań.

Ostatnim i niezwykle ważnym etapem jest odbudowa korony zęba. Prawidłowa odbudowa znacząco zmniejsza ryzyko złamania zęba po leczeniu kanałowym. W zależności od stopnia zniszczenia tkanek stosujemy:

  • wypełnienie kompozytowe
  • odbudowę typu onlay
  • wkład koronowo – korzeniowy z koroną protetyczną

Po zakończonym leczeniu endodontycznym, lekarz przedstawia pacjentowi jakie procedury zostały wykonane i o konieczności wizyty kontrolnej z badaniem RVG lub tomografii komputerowej (CBCT) po ok. 3 miesiącach.

Etapy leczenia endodontycznego

Możliwe powikłania leczenia endodontycznego

Rokowanie po prawidłowo przeprowadzonym leczeniu kanałowym jest bardzo dobre, jednak należy pamiętać, że jest to zabieg zaawansowany i – jak każda procedura medyczna może wiązać się z ryzykiem powikłań.

Poniżej przedstawiamy najważniejsze, potencjalne niepowodzenia, które omawiamy z pacjentem przed rozpoczęciem leczenia.

1. Trudności ze znieczuleniem

W stanie zapalnym włókna nerwowe są bardziej odporne na działanie środków znieczulających.

Narzędzia endodontyczne są bardzo cienkie i pracują w wąskich, często zakrzywionych kanałach. W przypadku złamania fragment narzędzia może zostać usunięty lub zostać ominięty i pozostawiony. Decyzję podejmuje lekarz na podstawie obrazu klinicznego i radiologicznego.

To rzadkie powikłanie, którego ryzyko minimalizujemy dzięki wcześniejszej diagnostyce RTG lub CBCT i leczeniu pod mikroskopem. Perforacja zabezpieczana jest specjalnym materiałem biozgodnym (MTA), a ząb wymaga regularnych kontroli.

Pozostawienie fragmentów zainfekowanej miazgi może prowadzić do utrzymującego się stanu zapalnego. Dlatego tak ważne jest odnalezienie wszystkich kanałów (leczenie w mikroskopie), dezynfekcja (dokładne płukanie) oraz szczelne wypełnienie (termoplastyczna gutaperka).

W rzadkich przypadkach może dojść do przedostania się środka płuczącego poza wierzchołek korzenia, co może powodować przejściowe dolegliwości bólowe i obrzęk.

Zęby wymagające leczenia kanałowego są często znacznie osłabione. Z tego też względu, staramy się przeleczyć ząb kanałowo na jednej wizycie, a następnie niezwłocznie prawidłowo odbudować. Ryzyka złamania korony zęba znacząco zmniejsza odbudowa protetyczna (wkład koronowo-korzeniowy i korona), a także prawidłowo uzupełnione ewentualne braki zębowe.

W przypadku niekorzystnego przebiegu linii złamania może być konieczna ekstrakcja zęba.

Nadwypełnienie może powodować przejściowe dolegliwości bólowe, niedopełnienie może prowadzić do utrzymującego się stanu zapalnego. Dlatego kontrola radiologiczna jest standardem w naszym gabinecie.

Po ustąpieniu działania znieczulenia możliwa jest tkliwość przy nagryzaniu, ewentualnie ból utrzymujący się kilka dni.

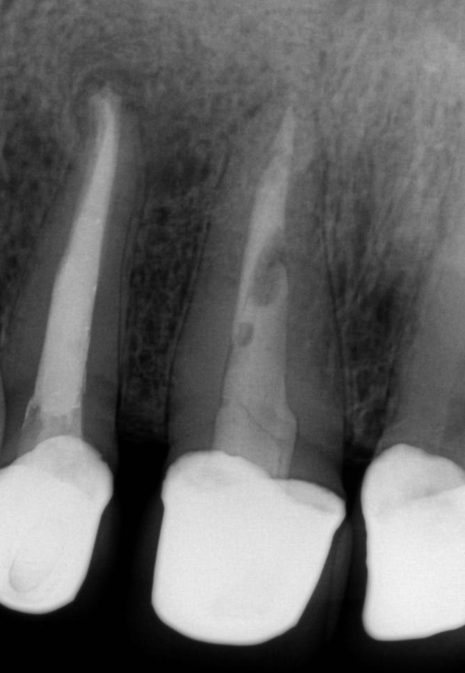
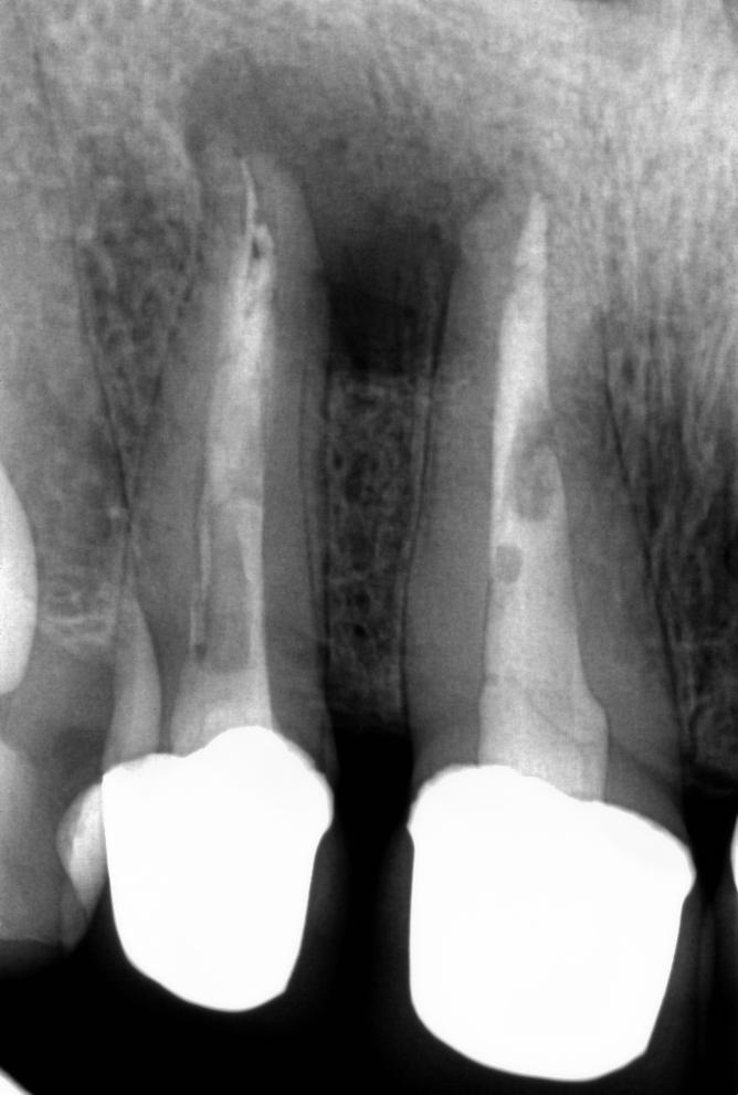
Leczenie endodontyczne – efekt przed i po

Stan przed leczeniem:

Na zdjęciu RTG widoczna rozległa zmiana okołowierzchołkowa, klinicznie czynna przetoka, świadcząca o przewlekłym stanie zapalnym tkanek otaczających korzeń zęba. 
Wykonano powtórne leczenie kanałowe (rewizję endodontyczną), polegające na usunięciu starego materiału, dokładnym oczyszczeniu i dezynfekcji kanałów oraz ich szczelnym wypełnieniu z wykorzystaniem nowoczesnych technologii. 

Stan po leczeniu:

Na kontrolnym zdjęciu RTG widoczna jest regeneracja tkanek okołowierzchołkowych i ustąpienie stanu zapalnego. Ząb został uratowany i może nadal pełnić swoją funkcję w jamie ustnej.
Endodoncja – leczenie kanałowe | Tarchomin

FAQ

Ile czasu trwa leczenie kanałowe?

Czas trwania leczenia kanałowego zależy od kilku czynników: rodzaju zęba, ilości kanałów oraz tego, czy jest to pierwotne, czy powtórne (re-endo) leczenie kanałowe. 

Średni czas leczenia kanałowego dla zęba jednokorzeniowego wynosi ok 1-1,5 godz, a powtórne leczenie zęba trzonowego ok.3 godz.

Czas zabiegu zależy od m.in:

  • liczby i budowy kanałów
  • stopnia zakrzywienia korzeni
  • obecności zwapnień (kanały zobliterowane)
  • wcześniejszego leczenia kanałowego
  • obecności złamanych narzędzi w kanale
  • rozległości infekcji

Nowoczesne leczenie kanałowe pod mikroskopem, z zastosowaniem narzędzi maszynowych NiTi znacząco skraca czas zabiegu i zwiększa jego skuteczność.

Nie. Zabieg wykonywany jest w skutecznym znieczuleniu miejscowym. Długość wizyty nie wpływa na poziom odczuwanego bólu – kluczowe znaczenie ma stan zapalny przed rozpoczęciem leczenia.

Zachowanie naturalnego zęba ma ogromne znaczenie dla:

  • stabilności zgryzu,
  • ochrony sąsiednich zębów przed przemieszczaniem,
  • utrzymania prawidłowej funkcji żucia,
  • uniknięcia kosztownego leczenia implantologicznego lub protetycznego.

Prawidłowo przeprowadzone leczenie kanałowe pozwala zębowi funkcjonować przez wiele lat.

Do najczęstszych objawów należą:

  • silny, pulsujący ból zęba,
  • nadwrażliwość na ciepło i zimno,
  • ból przy nagryzaniu,
  • obrzęk dziąsła,
  • przetoka ropna,
  • zmiana koloru zęba.

W niektórych przypadkach martwica zęba przebiega bezobjawowo i wykrywana jest dopiero na zdjęciu RTG.

Nowoczesna endodoncja wykonywana jest w skutecznym znieczuleniu miejscowym.

Zabieg jest bezbolesny, a ewentualny dyskomfort po leczeniu ma zwykle łagodny i przejściowy charakter.

Umów się na konsultację endodontyczną Tarchomin / Białołęka

Jeśli odczuwasz ból zęba, masz obrzęk lub podejrzewasz konieczność leczenia kanałowego – nie zwlekaj. Wczesna diagnostyka zwiększa szanse na skuteczne i szybkie leczenie.

Skontaktuj się z nami i umów wizytę – nowoczesne leczenie kanałowe pozwala bezpiecznie uratować ząb i uniknąć ekstrakcji.

 

Zostaw maila i telefon – odzwonimy jeszcze dzisiaj!

    O nas

    Prodental Stomatologia Białołęka i Tarchomin to placówka medyczna oferująca pełen zakres usług z zakresu stomatologii. Stworzyliśmy takie miejsce, do którego sami chcielibyśmy chodzić, i to z przyjemnością. Pasja, wiedza, umiejętności i doświadczenie w jednym miejscu.