Stałe aparaty ortodontyczne

Stały aparat ortodontyczny to sprawdzona i bardzo skuteczna metoda leczenia wad zgryzu. Aparat stały składa się z zamków przyklejanych do powierzchni zębów oraz łuku ortodontycznego, który stopniowo przesuwa zęby do prawidłowej pozycji.

Zalety stałych aparatów ortodontycznych:

Wysoka skuteczność

Stałe samoligaturujące aparaty ortodontyczne pozostają jedną z najskuteczniejszych metod prostowania zębów w przypadku poważniejszych wad zgryzu.

Stałe działanie

Aparat pracuje 24 godziny na dobę – nie wymaga współpracy w zakresie zdejmowania.

Trwałość

Wykonane z wytrzymałych materiałów (stal medyczna, tytan)

APARAT STAŁY SAMOLIGATURUJĄCY METALOWY – nowoczesne leczenie wad zgryzu

Aparat stały samoligaturujący metalowy to jedna z najnowocześniejszych metod leczenia ortodontycznego, stosowana w korekcji wad zgryzu w młodzieży i dorosłych. W porównaniu z klasycznym aparatem stałym zapewnia większą precyzję, mniejsze tarcie oraz bardziej fizjologiczne działanie sił ortodontycznych.

Czym różni się aparat samoligaturujący od klasycznego?

W tradycyjnym aparacie ortodontycznym łuk jest mocowany do zamka za pomocą elastycznych ligatur (gumek). Powoduje to większe tarcie oraz okresowe zmiany siły działania – szczególnie po wymianie ligatur podczas wizyty kontrolnej.

Jak długo trwa leczenie aparatem stałym samoligaturującym?

Czas leczenia zależy od rodzaju i zaawansowania wady zgryzu. Średnio terapia trwa od 18 do 24 miesięcy. W prostszych przypadkach krócej, w bardziej złożonych dłużej. Wizyty kontrolne odbywają się zazwyczaj co 6 – 10 tygodni.

Zalety metalowego aparatu samoligaturującego:

  • krótszy czas leczenia w wybranych przypadkach
  • rzadsze wizyty kontrolne (co 6 – 10 tygodni)
  • generowanie mniejszych, bardziej stabilnych sił działających na zęby i tkanki przyzębia
  • łatwiejsze utrzymanie higieny jamy ustnej (brak elastycznych ligatur, na których odkłada się płytka nazębna)
  • większy komfort dzięki mniejszym i bardziej płaskim zamkom
  • wysoka skuteczność w leczeniu nawet poważnych wad zgryzu

Metalowy aparat stały pozostaje jedną z najbardziej efektywnych metod leczenia ortodontycznego, szczególnie w przypadkach wymagających dużej kontroli ruchów zębów.

APARAT STAŁY SAMOLIGATURUJĄCY KRYSZTAŁOWY – estetyczne leczenie wad zgryzu

Zamki kryształowe jest to estetyczna koncepcja fizjologicznego leczenia systemem Damona. Zamki są mało widoczne, dlatego stanowią alternatywę dla pacjentów, którzy wolą leczenie ortodontyczne aparatami stałymi, ale mniej widoczne. 

Zalety zamków samoligaturujących estetycznych:

  • całkowicie estetyczny, pasywny, samoligaturujący zamek o niezrównanej konstrukcji
  • materiał polikrystaliczny z tlenku glinu (PCA) jest odporny na przebarwienia spowodowane kawą, musztardą, czerwonym winem i innymi produktami spożywczymi
  • eliminuje potrzebę stosowania elastomerów, które przebarwiają się i gromadzą bakterie
  • zaawansowana technologia pasywnego samoligaturowania z niską siłą ligaturowania, minimalizująca opór tarcia dla bardziej efektywnego przesuwania zębów

Leczenie ortodontyczne – efekt przed i po

Ortodontyczne leczenie nastoletniej pacjentki Tarchomin

Stan przed leczeniem:

Zgryz krzyżowy, polegający na nieprawidłowej relacji zębów górnych do dolnych może prowadzić do asymetrii rozwoju stawów skroniowo-żuchwowych, przeciążeń zębów oraz zaburzeń funkcji żucia. U nastoletniej pacjentki przeprowadzono leczenie ortodontyczne, z użyciem aparatu samoligaturującego, mającą na celu poszerzenie łuku górnego oraz przywrócenie prawidłowych relacji między zębami.  

Stan po leczeniu:

Uzyskując prawidłowe relacje zębowe poprawiono nie tylko estetykę uśmiechu, ale również funkcję żucia oraz warunki do dalszego, harmonijnego rozwoju układu stomatognatycznego.

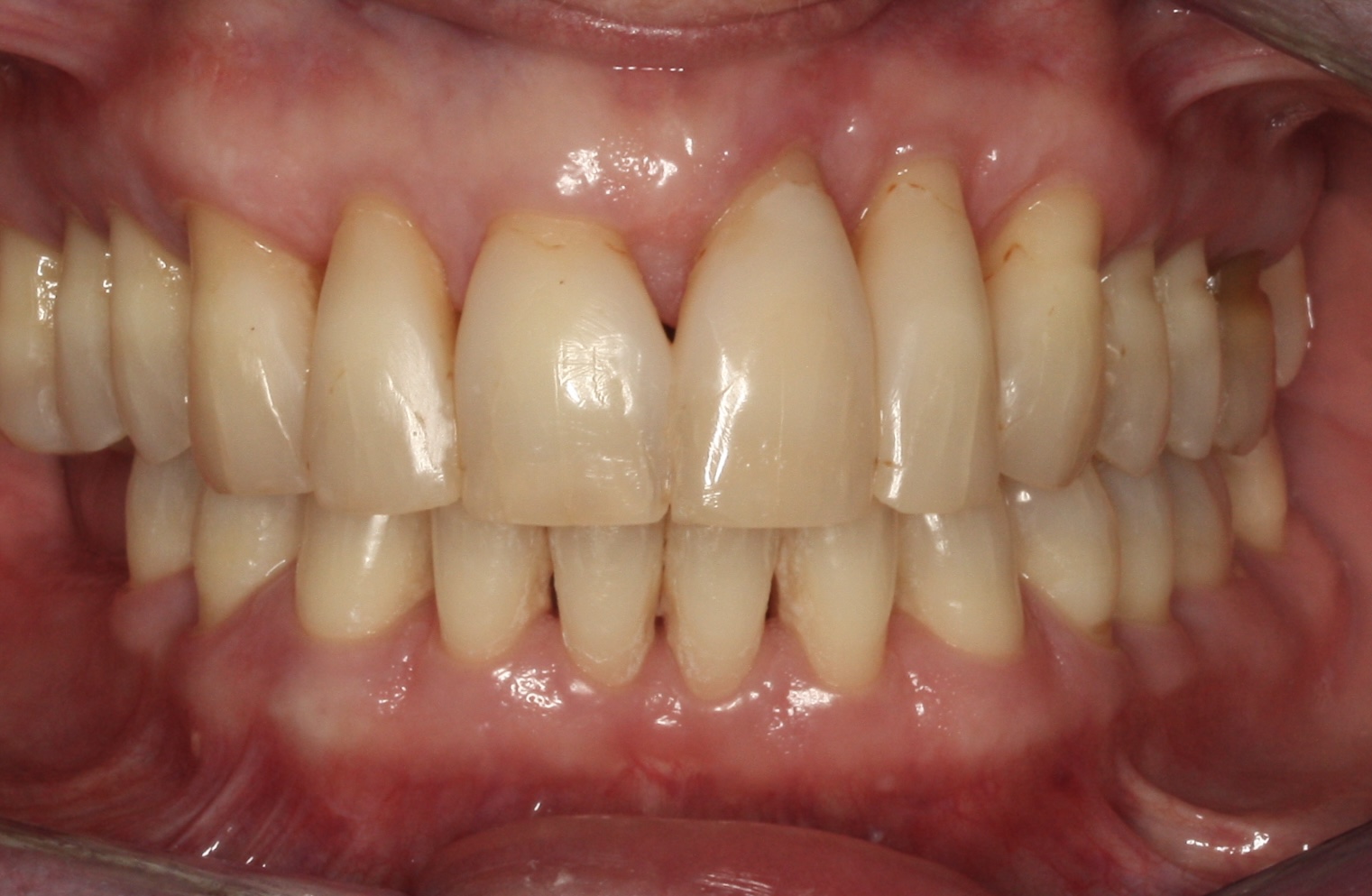
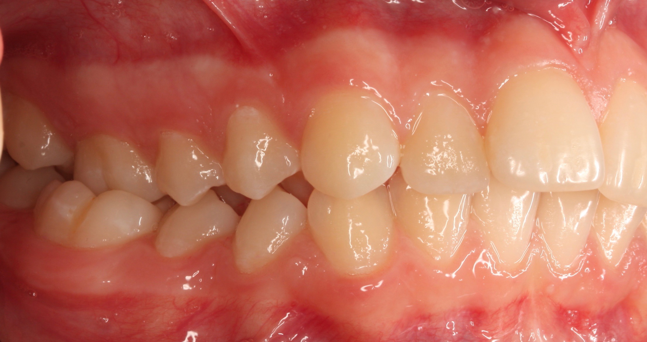
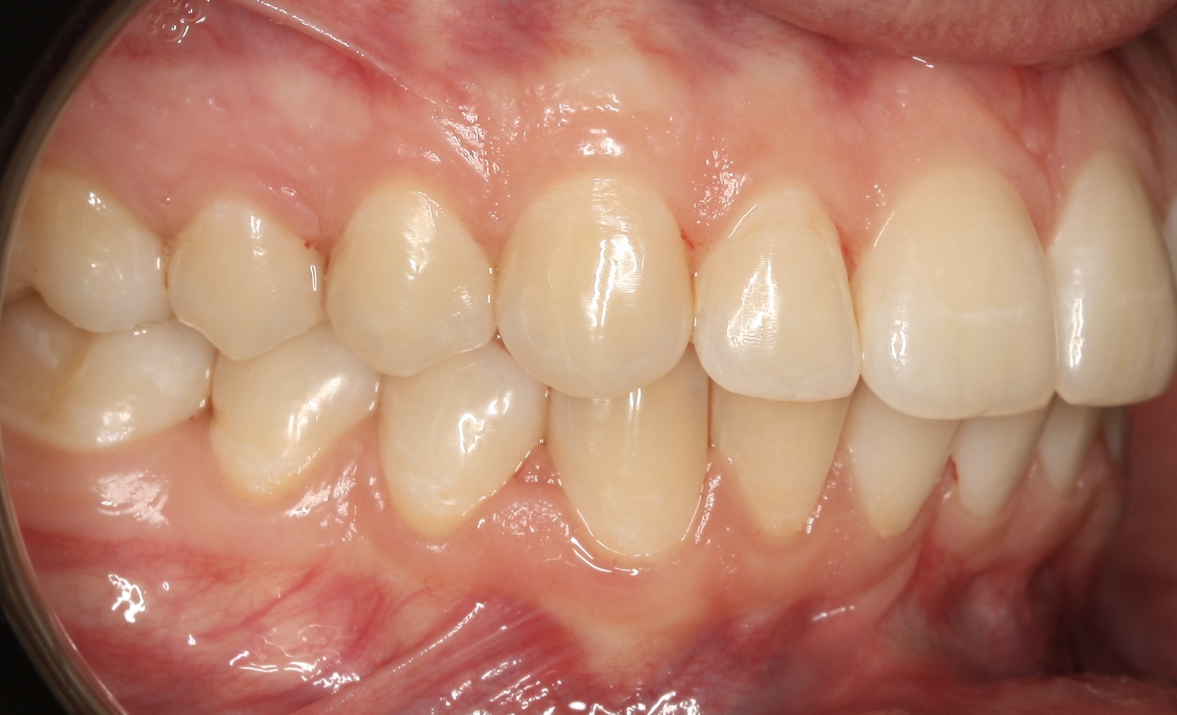
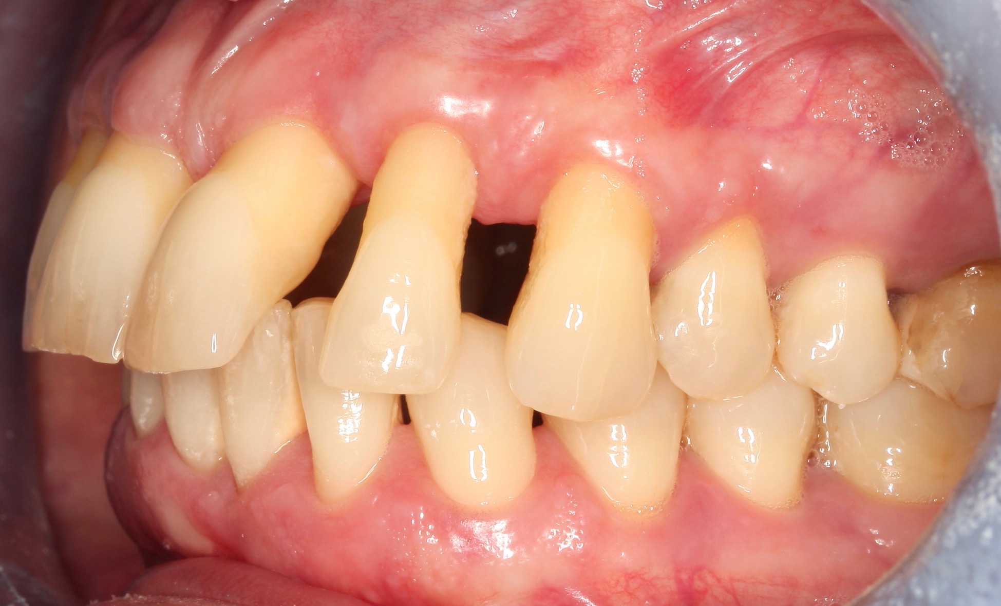
Interdyscyplinarne leczenie dorosłej pacjentki z zaawansowaną chorobą przyzębia

Stan przed leczeniem:

Pacjentka zgłosiła się z zaawansowaną chorobą przyzębia, której towarzyszyła m.in. protruzja oraz szparowatość i ruchomość siekaczy górnych. Zęby przednie były wychylone i przemieszczone, co wpływało nie tylko na estetykę uśmiechu, ale również na stabilność zgryzu i dalszą progresję choroby przyzębia.
Terapia została zaplanowana interdyscyplinarnie, z uwzględnieniem leczenia periodontologicznego, ortodontycznego i protetycznego. Po fazie przyczynowej leczenia periodontologicznego wdrożono leczenie ortodontyczne, którego celem było uszeregowanie zębów w sposób bezpieczny dla tkanek podtrzymujących.

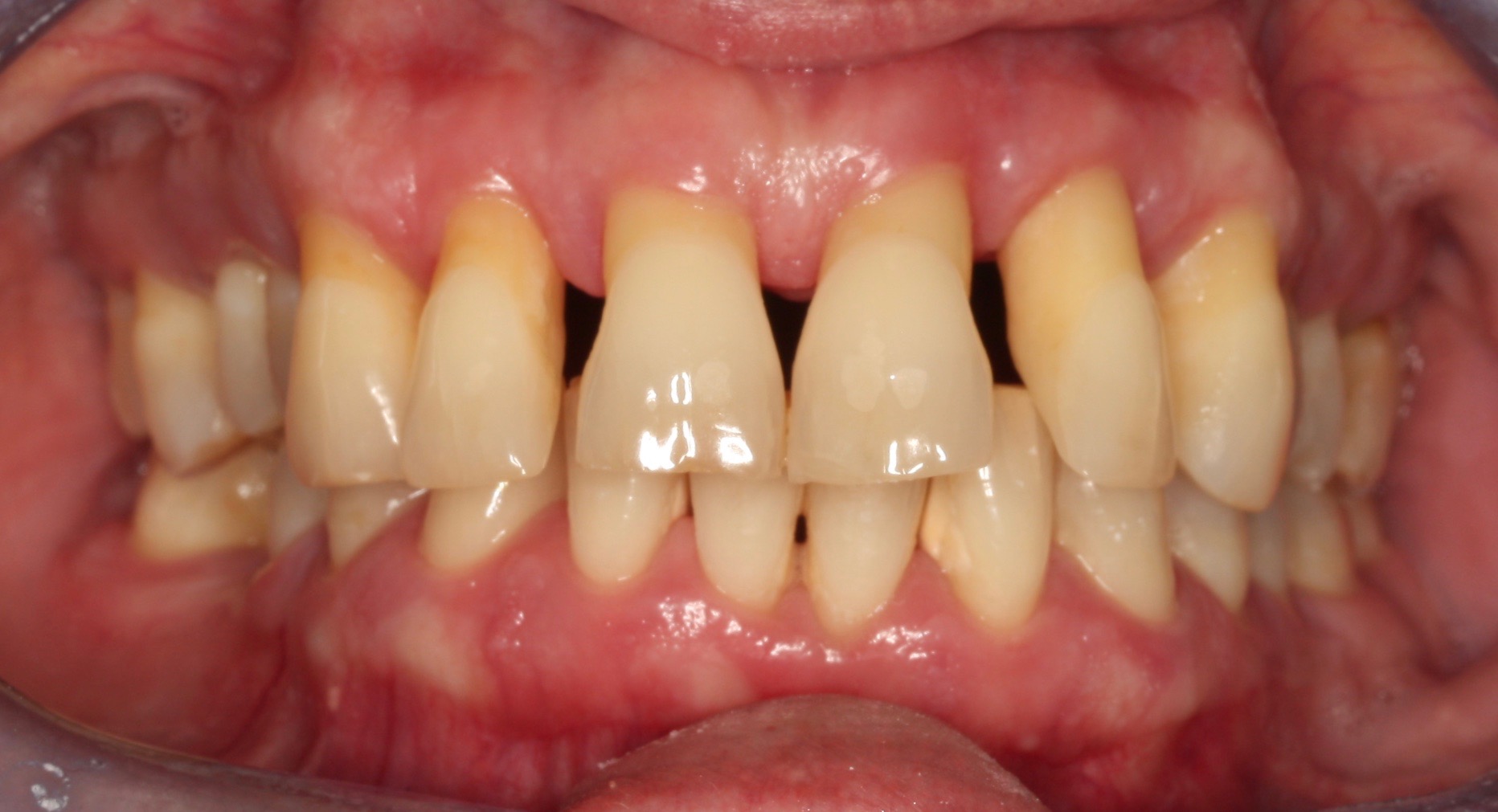
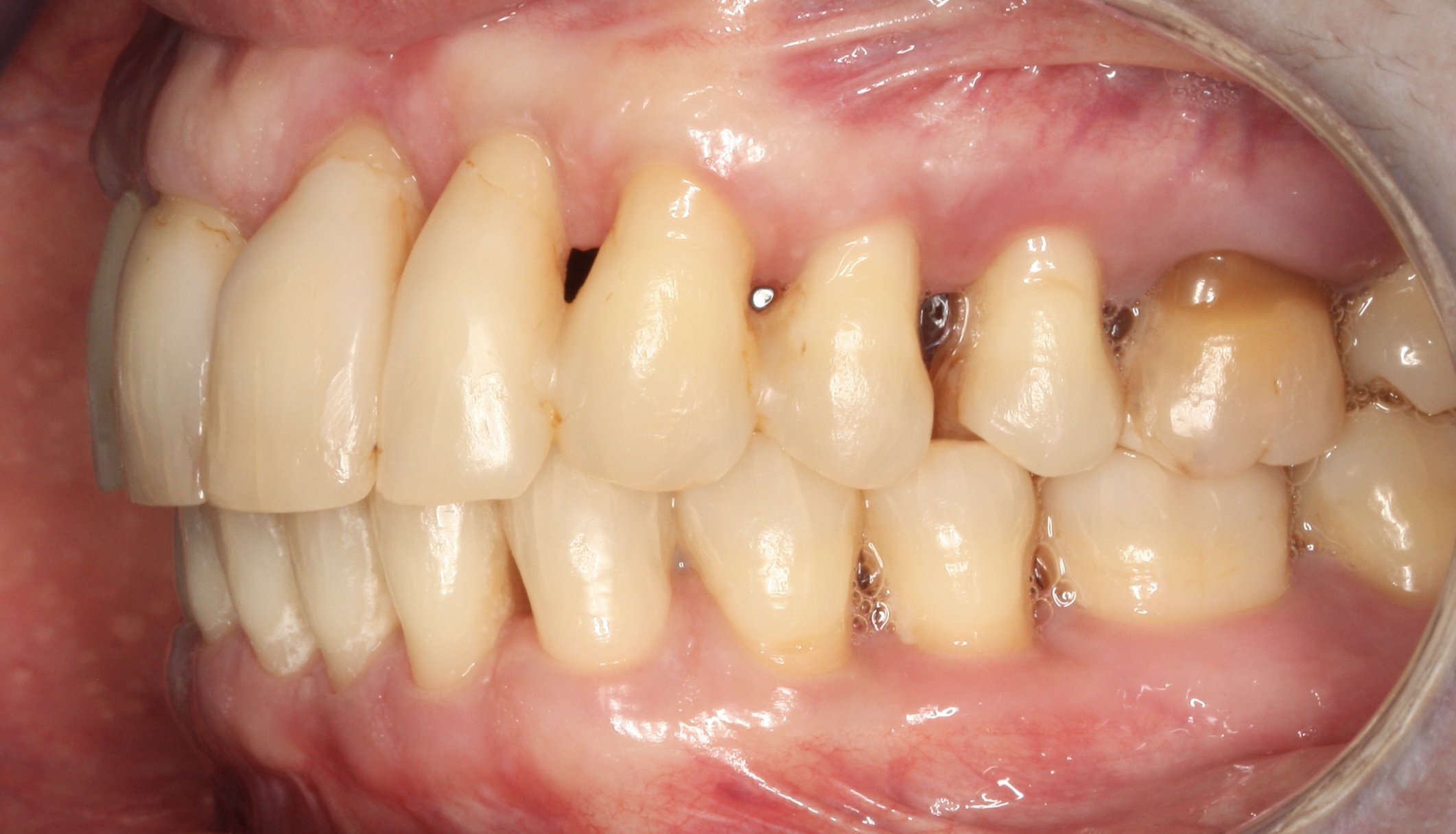
Stan po leczeniu:

Uzyskano harmonijne ustawienie zębów, zamknięcie przestrzeni między siekaczami oraz poprawę relacji zgryzowych. Efekt leczenia przełożył się na poprawę estetyki uśmiechu, funkcji oraz stabilizacji stanu tkanek przyzębia . 5 lat po zakończonym leczeniu ortodontycznym, stan tkanek przyzębia jest ustabilizowany, bez cech progresji choroby, a tkanki podtrzymujące zęby pozostają w dobrej kondycji. Pacjentka zachowała zarówno estetykę uśmiechu, jak i prawidłową funkcję zgryzu, co potwierdza, że odpowiednio zaplanowane leczenie interdyscyplinarne – połączone z regularną kontrolą daje długoterminowe, trwałe rezultaty.

Ortodoncja – Tarchomin

FAQ – najczęściej zadawane pytania na temat leczenia ortodontycznego

Czy leczenie ortodontyczne boli?

Po założeniu aparatu oraz po wizytach kontrolnych może pojawić się przejściowa tkliwość zębów (zwykle 2 – 3 dni). Jest to naturalna reakcja na działanie sił ortodontycznych. 

Nowoczesne systemy, np.Damon System, generują mniejsze i bardziej fizjologiczne siły, co często oznacza większy komfort leczenia.

Nie. Należy ostrożnie postępować, szczególnie przy odgryza iu pokarmów, aby nie zrywać zamków. Po wizytach kontrolnych może być problem z gryzieniem twardszych pokarmów, ze względu na kilkudniową (1-3 dni), zwiększoną wrażliwość zębów na nagryzanie.

Wizyty kontrolne odbywają się średnio co:

  • 4-6 tygodni w aparatach klasycznych
  • 6-10 tygodni w aparatach samoligaturujących

Podczas wizyty kontrolnej lekarz wymienia łuki, kontroluje postępy i wprowadza kolejne etapy leczenia.

Metalowy aparat ortodontyczny jest widoczny, jednak zamki są dziś znacznie mniejsze i bardziej estetyczne niż kiedyś. Alternatywą są zamki estetyczne (kryształowe) lub leczenie zakładkami ortodontycznymi.

Umów się na konsultację ortodontyczną – Tarchomin / Białołęka

Jeśli interesuje Cię:

  • aparat ortodontyczny
  • leczenie wady zgryzu
  • przezroczyste nakładki ortodontyczne
  • ortodoncja dla dorosłych lub dzieci

Zapraszamy na konsultację w Prodental. Podczas wizyty przeprowadzimy dokładną diagnostykę, omówimy możliwości leczenia i przedstawimy indywidualny plan terapii.

📞 Zarezerwuj konsultację już dziś!
Bez pośpiechu. Wypełnij poniższy formularz i rozpocznij drogę do zdrowego, prostego uśmiechu.

Zostaw maila i telefon – odzwonimy jeszcze dzisiaj!

    O nas

    Prodental Stomatologia Białołęka i Tarchomin to placówka medyczna oferująca pełen zakres usług z zakresu stomatologii. Stworzyliśmy takie miejsce, do którego sami chcielibyśmy chodzić, i to z przyjemnością. Pasja, wiedza, umiejętności i doświadczenie w jednym miejscu.